Table of Contents
Washington University Experience | PERIPHERAL NEUROPATHY | 14 AMYLOID NEUROPATHY | 7E5 (Case 7) 009 - Copy
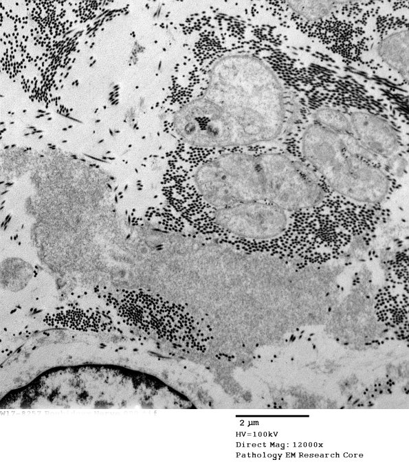
7E5,6 At low magnification the pale material might be mistaken for oxytalan; however, higher magnification identifies the material as filamentous amyloid. (electron micrographs)
