Table of Contents
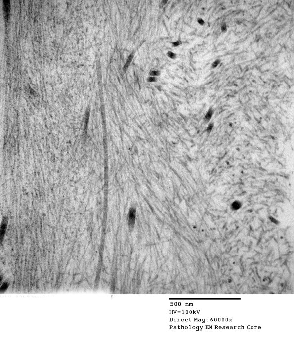
Washington University Experience | PERIPHERAL NEUROPATHY | 14 AMYLOID NEUROPATHY | 7E6 (Case 7) 016 - Copy
At low magnification the pale material might be mistaken for oxytalan; however, higher magnification identifies the material as filamentous amyloid. (electron micrographs)
