Table of Contents
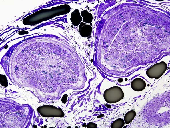
Washington University Experience | PERIPHERAL NEUROPATHY | 14 AMYLOID NEUROPATHY | 8C1 Amyloid NP (Case 8) Plastic 3
There is marked loss of small and large myelinated axons and prominent deposition of amyloid around endoneurial blood vessels. (Plastic sections)
