Table of Contents



Washington University Experience | PERIPHERAL NEUROPATHY | 14 AMYLOID NEUROPATHY | 8C3 Amyloid NP (Case 8) Plastic

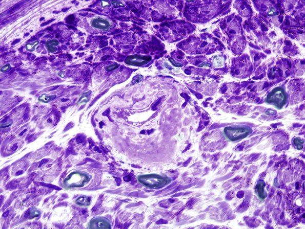
8C3 Amyloid NP (Case 8) Plastic
Higher magnification of one amyloid involved vessel. (Plastic sections)


Gallery RSS RSS Feed | Archive View | Login | Powered by Zenphoto