Table of Contents
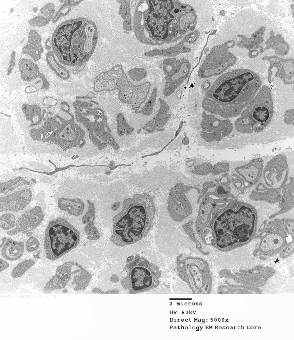
Washington University Experience | PERIPHERAL NEUROPATHY | 14 AMYLOID NEUROPATHY | 8D1 (Case 8) EM026 - Copy
Ultrastructural analysis shows marked loss of large and small myelinated axons as well as unmyelinated axons. (electron micrographs)
