Table of Contents



Washington University Experience | PERIPHERAL NEUROPATHY | 14 AMYLOID NEUROPATHY | 8D2 (Case 8) EM002 - Copy

8D2 (Case 8) EM002 - Copy
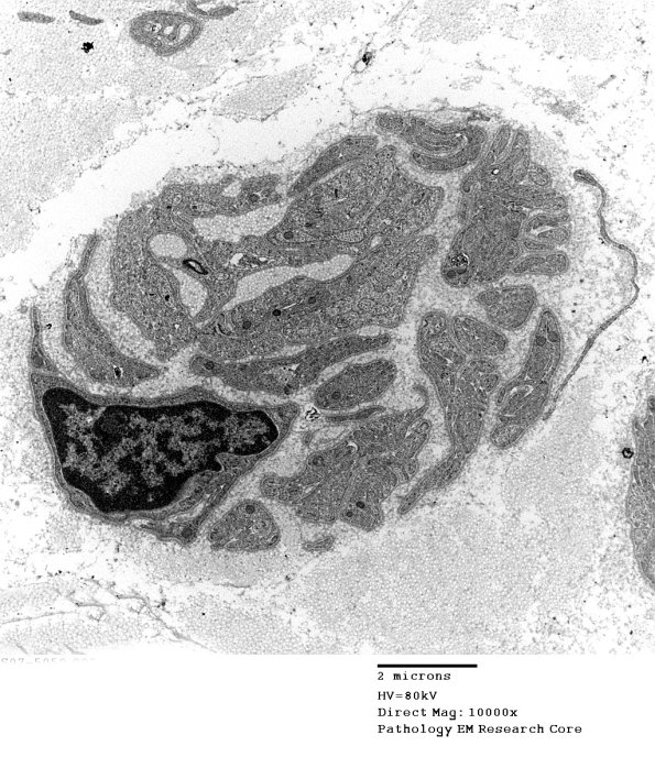
8D2,3 The residual endoneurial structures are largely bands of Büngner. (electron micrographs)


Gallery RSS RSS Feed | Archive View | Login | Powered by Zenphoto