Table of Contents



Washington University Experience | PERIPHERAL NEUROPATHY | 14 AMYLOID NEUROPATHY | 8D4 (Case 8) EM017 - Copy

8D4 (Case 8) EM017 - Copy
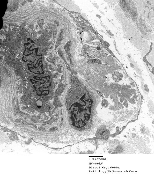
8D4,5 The asymmetric appearance of this vessel is contributed by amyloid fibrils. (electron micrographs)


Gallery RSS RSS Feed | Archive View | Login | Powered by Zenphoto