Table of Contents



Washington University Experience | PERIPHERAL NEUROPATHY | 14 AMYLOID NEUROPATHY | 8D6 (Case 8) EM019 - Copy

8D6 (Case 8) EM019 - Copy
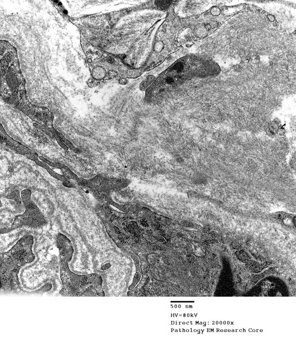
8D6,7 Unstructured amyloid is also found in the perivascular endoneurium. (electron micrographs)


Gallery RSS RSS Feed | Archive View | Login | Powered by Zenphoto