Table of Contents
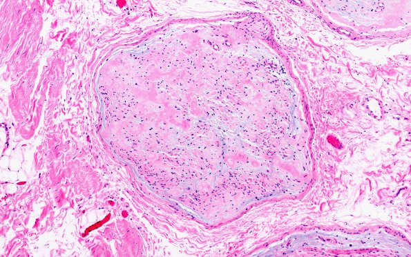
Washington University Experience | PERIPHERAL NEUROPATHY | 14 AMYLOID NEUROPATHY | 9A2 Amyloid NP (Case 9) H&E 4
H&E shows extensive amorphous, homogenous, eosinophilic material that is deposited within the endoneurial space, perineural soft tissue, and vessel walls throughout all components of the nerve fascicle. There is also extensive sub-perineurial edema with numerous mononuclear cells, including predominantly plasma cells but also some lymphocytes. (H&E)
