Table of Contents
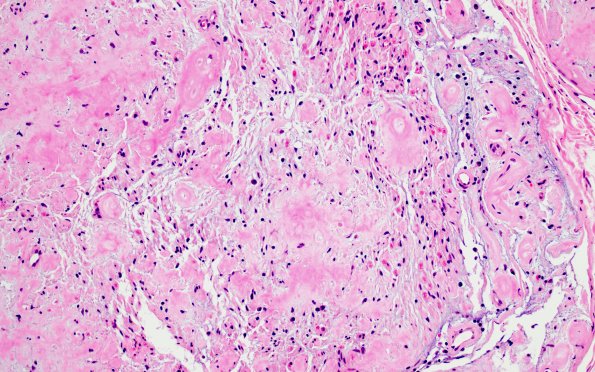
Washington University Experience | PERIPHERAL NEUROPATHY | 14 AMYLOID NEUROPATHY | 9A4 Amyloid NP (Case 9) H&E 6
There is also extensive sub-perineurial edema with numerous mononuclear cells, including predominantly plasma cells but also some lymphocytes. (H&E)
