Table of Contents
« prev
next »
Washington University Experience
|
PERIPHERAL NEUROPATHY
|
14 AMYLOID NEUROPATHY
|
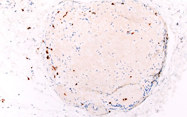
9B1 Amyloid NP (Case 9) CD3 20X
There is compelling CD3 T cell infiltrate in most fascicles. (CD3 IHC)
Image Info
Camera Maker:
Olympus
Camera Model:
DP74
Shutter Speed:
21/20000 sec
Metering Mode:
Multi-Spot
Gallery RSS
|
Archive View
|
Login
|
Powered by
Zenphoto