Table of Contents
Washington University Experience | PERIPHERAL NEUROPATHY | 14 AMYLOID NEUROPATHY | 9D1 Amyloid NP (Case 9) Plastic 10X 1
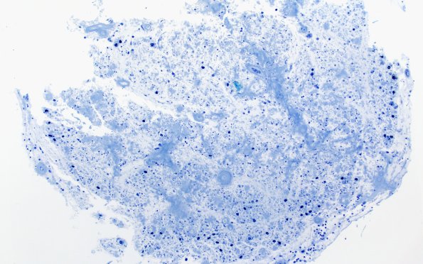
9D1-3 One micron-thick, toluidine blue stained sections show at least two fascicles with near complete loss of large and small myelinated axons, consistent with end stage nerve. Again, much of the endoneurial space is occupied by amyloid and many blood vessels show mural thickening by amyloid deposition. (Plastic sections)
