Table of Contents
* Check/uncheck all *
City
Country
Description
Location/Place
State
Tags
Title
Washington University Experience
|
PERIPHERAL NEUROPATHY
|
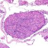
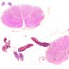
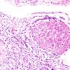
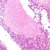
15 NEUROPATHY ASSOCIATED WITH NEOPLASIA
|
1 Neoplastic Infiltration (7)
« prev
1
2
3
4
5
6
7
8
next »
Gallery RSS
|
Archive View
|
Login
|
Powered by
Zenphoto