Table of Contents
Washington University Experience | PERIPHERAL NEUROPATHY | 16 DIABETIC NEUROPATHY | 1 Symmetrical Sensorimotor Neuropathy | 1E1 Diabetes (S13-1715) - Copy
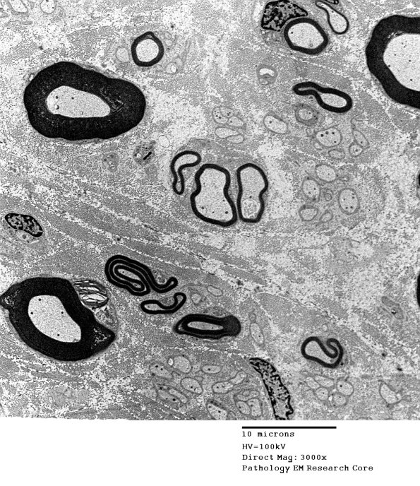
This image shows decreased numbers of myelinated and unmyelinated forms. The large myelinated axons appear normal in structure, although too few in number. There is a central collection of small, thinly myelinated axons arranged in a regenerative cluster. Notice that the unmyelinated axons at the right side of the image are arranged as “singletons”, i.e., not as Remak bundles. (electron micrographs)
