Table of Contents
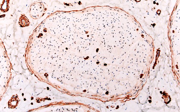
Washington University Experience | PERIPHERAL NEUROPATHY | 16 DIABETIC NEUROPATHY | 1 Symmetrical Sensorimotor Neuropathy | 2C2 (Case 2) SMA 20X
2C2,3 Higher magnification of the microvasculature does not reflect the actual wall thickness since SMA is smooth muscle directed and the wall is largely not composed of hyperplastic smooth muscle. (SMA IHC)
