Table of Contents
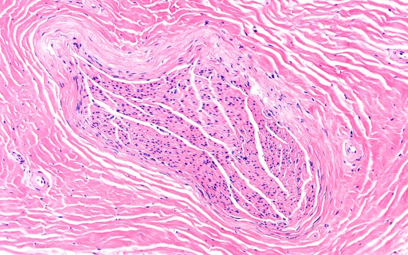
Washington University Experience | PERIPHERAL NEUROPATHY | 16 DIABETIC NEUROPATHY | 1 Symmetrical Sensorimotor Neuropathy | 5A2 SSN (Case 5) 20X
H&E stained material is largely unremarkable, with some epineurial/perineurial hyalinization without evidence of inflammation and vasculitis. (H&E)
