Table of Contents
Washington University Experience | PERIPHERAL NEUROPATHY | 16 DIABETIC NEUROPATHY | 1 Symmetrical Sensorimotor Neuropathy | 5B3 (Case 5) Plastic 9
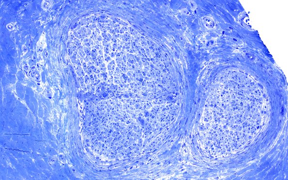
Surrounding epineurium is thickened and fibrotic. Some of the remaining large axons show thin myelination for axon caliber, consistent with a history of axonal degeneration and regeneration. Regenerative clusters are numerous. The regenerative clusters may artificially increase the apparent number of small myelinated axons which result from sprouting and regeneration of large myelinated parent axons. No macrophage-mediated demyelination or onion bulb formation are identified. (Plastic sections)
