Table of Contents
Washington University Experience | PERIPHERAL NEUROPATHY | 16 DIABETIC NEUROPATHY | 3 Sympathetic Autonomic Neuropathy | 11B Human SubP 1 copy
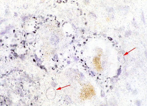
Higher magnification image of substance P labeled nerve terminals in a second case. Some unlabeled spherical structures (arrows) are thought to represent dystrophic swellings. (Sub P IGSS)
