Table of Contents
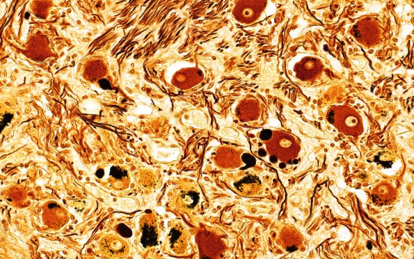
Washington University Experience | PERIPHERAL NEUROPATHY | 16 DIABETIC NEUROPATHY | 3 Sympathetic Autonomic Neuropathy | 2A10 BK13-7 112M 40X
2A10,11 Some neurons show multiple swellings as a corona around individual neuronal cell bodies. (Bielschowsky)
