Table of Contents
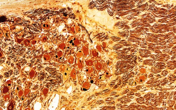
Washington University Experience | PERIPHERAL NEUROPATHY | 16 DIABETIC NEUROPATHY | 3 Sympathetic Autonomic Neuropathy | 2A2 BK13-7 112M 20X
2A2,3 These low magnification images show argyrophilic swellings adjacent to neuronal cell bodies which are lacking in nearby collections of axons, i.e., this is an axonopathy involving the most distal aspects of axons. Notice the granular argyrophilic material in the neuronal cell bodies which largely corresponds to neuromelanin. (Bielschowsky)
