Table of Contents
Washington University Experience | PERIPHERAL NEUROPATHY | 16 DIABETIC NEUROPATHY | 3 Sympathetic Autonomic Neuropathy | 4A6 Pics_Page_2 - Copy
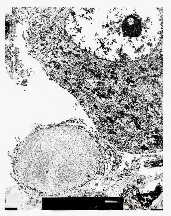
4A6-9 Dystrophic swellings correspond with neurofilament containing argyrophilic spheroids. (electron micrograph)
