Table of Contents
Washington University Experience | PERIPHERAL NEUROPATHY | 16 DIABETIC NEUROPATHY | 3 Sympathetic Autonomic Neuropathy | 4A9 Picture14 - Copy
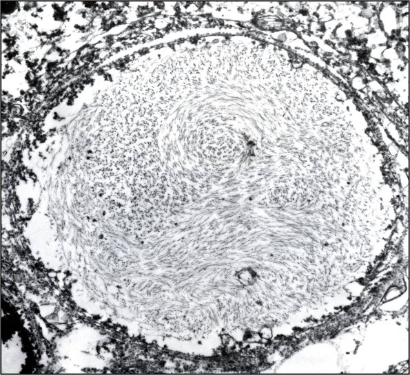
Dystrophic swellings correspond with neurofilament containing argyrophilic spheroids. (electron micrograph)
