Table of Contents
Washington University Experience | PERIPHERAL NEUROPATHY | 16 DIABETIC NEUROPATHY | 3 Sympathetic Autonomic Neuropathy | 4B2 Pics_Page_1 - Copy
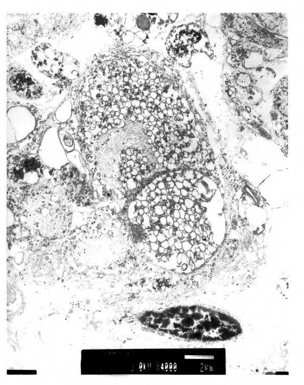
These vesicle rich swellings likely correspond to the non-argyrophilic swellings shown in 2A15-19. (electron micrographs)
