Table of Contents
Washington University Experience | PERIPHERAL NEUROPATHY | 17 TOXIC NEUROPATHIES | Amiodarone | 1A10 Amiodarone (Case 1) Plastic 9
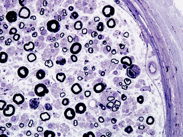
1A10,11 Degenerating axons are seen as well as axons with thinned myelin for axon caliber and regenerative clusters. Schwann cells of unmyelinated axons appear to have dotlike inclusions. (plastic section)
