Table of Contents
Washington University Experience | PERIPHERAL NEUROPATHY | 17 TOXIC NEUROPATHIES | Amiodarone | 1A12 Amiodarone (Case 1) Plastic 60X 1
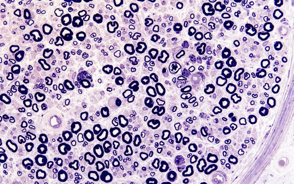
1A12,13 There are large myelinated axons with Schwann cell inclusions (arrowhead, 1A13) and an area with two demyelinated axons and surrounding macrophages with myelin debris and probable inclusions (arrow, 1A13). (plastic section)
