Table of Contents
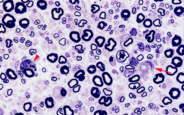
Washington University Experience | PERIPHERAL NEUROPATHY | 17 TOXIC NEUROPATHIES | Amiodarone | 1A13 Amiodarone (Case 1) Plastic 100X 1 copy
There are large myelinated axons with Schwann cell inclusions (arrowhead, 1A13) and an area with two demyelinated axons and surrounding macrophages with myelin debris and probable inclusions (arrow, 1A13). (plastic section)
