Table of Contents
Washington University Experience | PERIPHERAL NEUROPATHY | 17 TOXIC NEUROPATHIES | Amiodarone | 1A6-Amiodarone-Case-1-Plastic.jpg
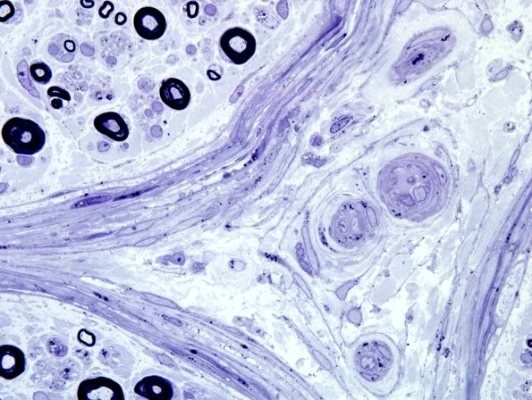
1A6-9 The perineurium and epineurial vasculature are involved by osmiophilic inclusions. (plastic section)
