Table of Contents
« prev
next »
Washington University Experience
|
PERIPHERAL NEUROPATHY
|
17 TOXIC NEUROPATHIES
|
Amiodarone
|
1A7-Amiodarone-Case-1-3-.jpg
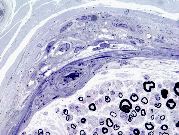
The perineurium and epineurial vasculature are involved by osmiophilic inclusions. (plastic section)
Image Info
Camera Maker:
Olympus Corporation
Camera Model:
DP70
Original Time Taken:
03-10-2013
Shutter Speed:
2/45 sec
ISO Sensitivity:
200
Metering Mode:
Spot
Gallery RSS
|
Archive View
|
Login
|
Powered by
Zenphoto