Table of Contents
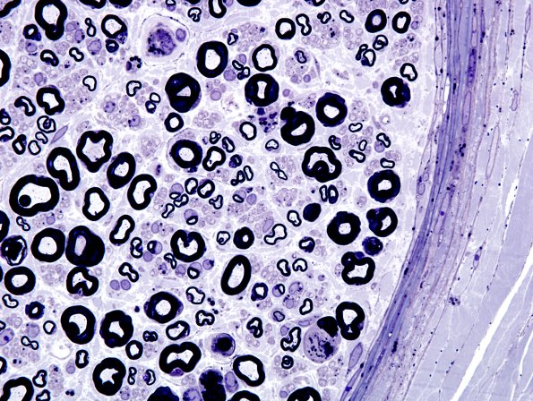
Washington University Experience | PERIPHERAL NEUROPATHY | 17 TOXIC NEUROPATHIES | Amiodarone | 1A9 Amiodarone (Case 1) Plastic 7
The perineurium and epineurial vasculature are involved by osmiophilic inclusions. (plastic section)
