Table of Contents
Washington University Experience | PERIPHERAL NEUROPATHY | 17 TOXIC NEUROPATHIES | Amiodarone | 2A1 Amiodarone (Case 2) Plastic 4X 1
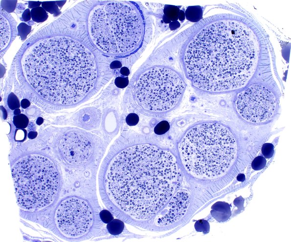
Case 2 (Thanks JM Bilbao, MD) ---- 2A1 In this case there is more fascicle-to-fascicle variability in axon density and underlying pathology. (plastic section)
