Table of Contents
« prev
next »
Washington University Experience
|
PERIPHERAL NEUROPATHY
|
17 TOXIC NEUROPATHIES
|
Amiodarone
|
2A2-Amiodarone-Case-2-Plastic-3.jpg
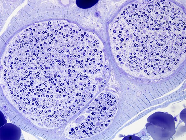
2A2,3 Axon loss in this image is modest but compelling. (plastic section)
Image Info
Camera Maker:
Olympus Corporation
Camera Model:
DP70
Original Time Taken:
07-04-2014
Shutter Speed:
1/1400 sec
ISO Sensitivity:
200
Metering Mode:
Spot
Gallery RSS
|
Archive View
|
Login
|
Powered by
Zenphoto