Table of Contents
« prev
next »
Washington University Experience
|
PERIPHERAL NEUROPATHY
|
17 TOXIC NEUROPATHIES
|
Amiodarone
|
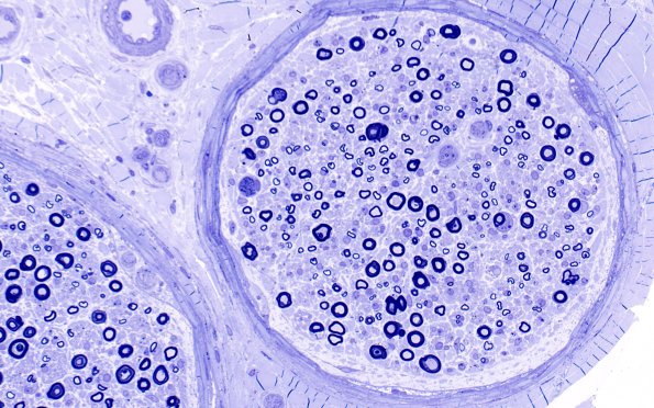
2A3 Amiodarone (Case 2) Plastic 40X 2
Axon loss in this image is modest but compelling. (plastic section)
Image Info
Camera Maker:
Olympus
Camera Model:
DP74
Shutter Speed:
30/5597 sec
Metering Mode:
Multi-Spot
Gallery RSS
|
Archive View
|
Login
|
Powered by
Zenphoto