Table of Contents
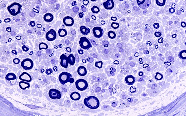
Washington University Experience | PERIPHERAL NEUROPATHY | 17 TOXIC NEUROPATHIES | Amiodarone | 2A4 Amiodarone (Case 2) Plastic 100X 3
In this area there are numerous demyelinated axons in the absence of inflammation. (plastic section)
