Table of Contents
Washington University Experience | PERIPHERAL NEUROPATHY | 17 TOXIC NEUROPATHIES | Amiodarone | 2A6 Amiodarone (Case 2) Plastic 100X 1 copy
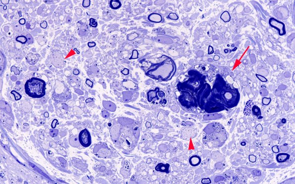
This fascicle is particularly rich in demyelinated axons (arrowheads, 2A6). The structure marked with an arrow is somewhat puzzling appearing to contain a large amount of debris enclosed by macrophages or a multinucleated giant cell. (plastic section)
(plastic section)
