Table of Contents
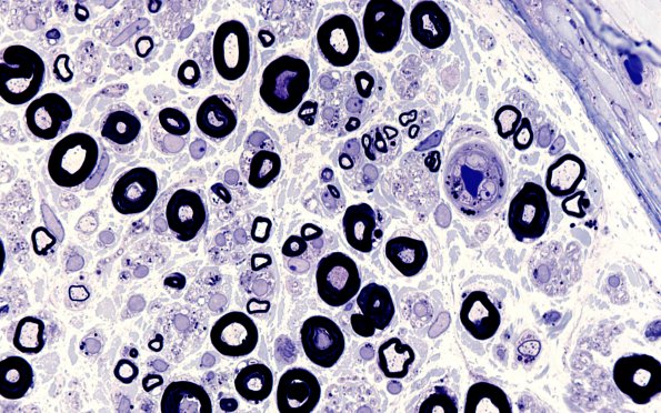
Washington University Experience | PERIPHERAL NEUROPATHY | 17 TOXIC NEUROPATHIES | Amiodarone | 2A8 Amiodarone (Case 2) Plastic 100X 4
2A8,9 Osmiophilic inclusions are seen in the vessels (arrow, 2A9), Schwann cells and perineurium. (plastic section)
