Table of Contents
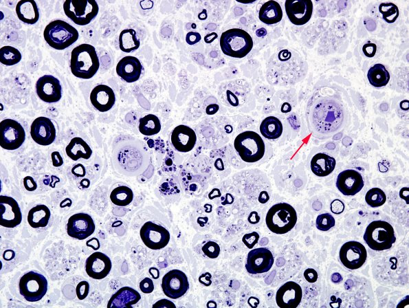
Washington University Experience | PERIPHERAL NEUROPATHY | 17 TOXIC NEUROPATHIES | Amiodarone | 2A9 Amiodarone neuropathy (Case 2) Plastic 15 copy
Osmiophilic inclusions are seen in the vessels (arrow, 2A9), Schwann cells and perineurium. (plastic section)
