Table of Contents
Washington University Experience | PERIPHERAL NEUROPATHY | 17 TOXIC NEUROPATHIES | Amiodarone | 2B2 Schwann cell (Case 2) Amiodarone - Copy
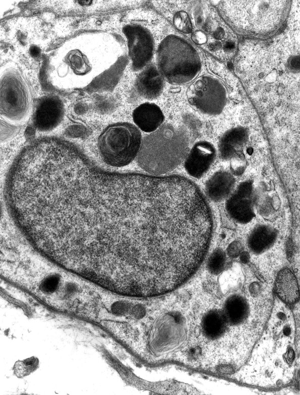
2B2,3 This endothelial cell contains membranous osmiophilic cytosomes. (electron micrographs)
