Table of Contents
Washington University Experience | PERIPHERAL NEUROPATHY | 17 TOXIC NEUROPATHIES | Amiodarone | 2B4-Amiodarone-Case-2-_007a-Copy.jpg
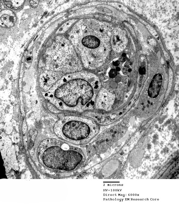
The endothelial cells of this endoneurial venule show membranous and paracrystalline inclusions. (electron micrograph)
