Table of Contents



Washington University Experience | PERIPHERAL NEUROPATHY | 17 TOXIC NEUROPATHIES | Amiodarone | 2B5 Amiodarone (Case 2)_008a - Copy

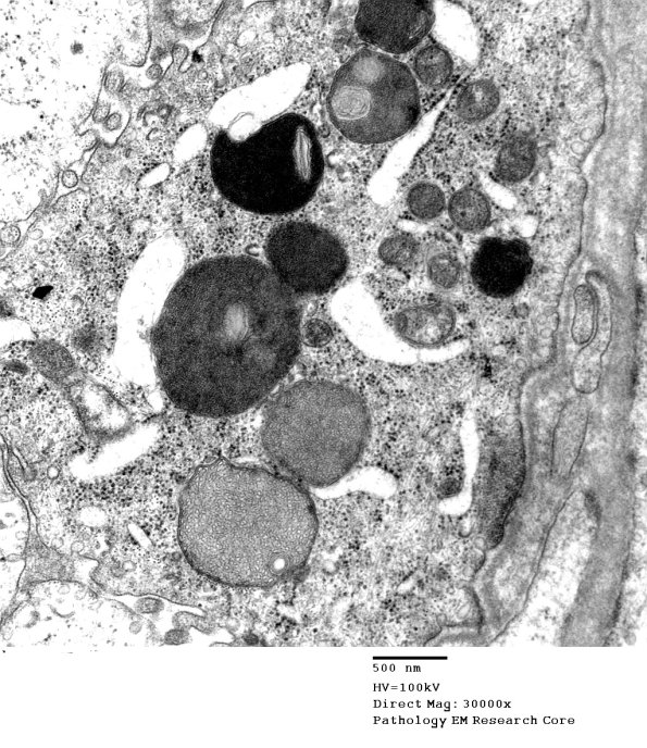
2B5 Amiodarone (Case 2)_008a - Copy
2B5,6 Higher magnification of the osmiophilic inclusions. (electron micrographs)


Gallery RSS RSS Feed | Archive View | Login | Powered by Zenphoto