Table of Contents



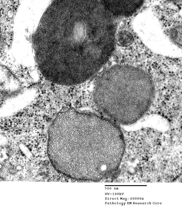
Washington University Experience | PERIPHERAL NEUROPATHY | 17 TOXIC NEUROPATHIES | Amiodarone | 2B6 Amiodarone (Case 2)_009a - Copy

2B6 Amiodarone (Case 2)_009a - Copy
Higher magnification of the osmiophilic inclusions. (electron micrographs)


Gallery RSS RSS Feed | Archive View | Login | Powered by Zenphoto