Table of Contents
Washington University Experience | PERIPHERAL NEUROPATHY | 17 TOXIC NEUROPATHIES | Chloroquine | 1A3-Chloroquine-NP-Case-1-Plastic-3A-copy.jpg
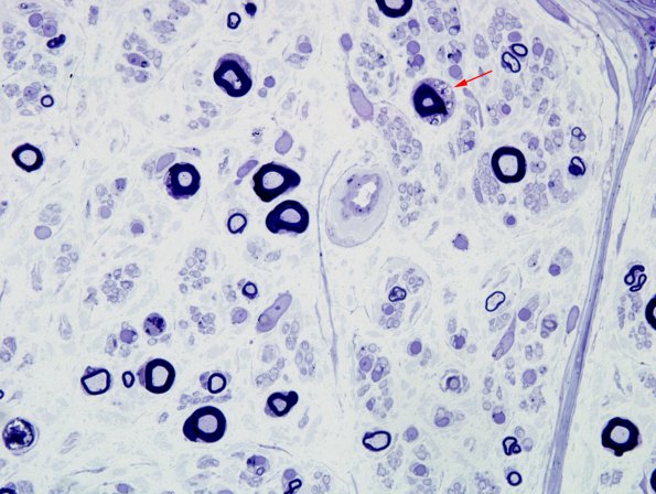
A few myelinated axons have Schwann cell cytoplasmic inclusions (arrow). (plastic section).
