Table of Contents
Washington University Experience | PERIPHERAL NEUROPATHY | 17 TOXIC NEUROPATHIES | Chloroquine | 1A4 Chloroquine NP (Case 1) Plastic 3
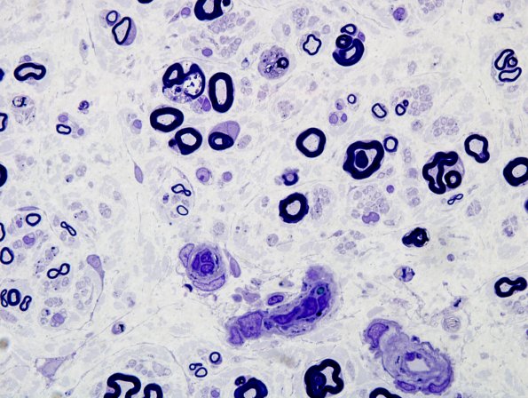
1A4,5 Actively degenerating axons are scattered throughout all fascicles. Small inclusions are difficult to resolve but involve Schwann cell cytoplasm and endoneurial microvasculature. (plastic sections).
