Table of Contents
Washington University Experience | PERIPHERAL NEUROPATHY | 17 TOXIC NEUROPATHIES | Chloroquine | 1A5-Chloroquine-NP-Case-1-Plastic-3B.jpg
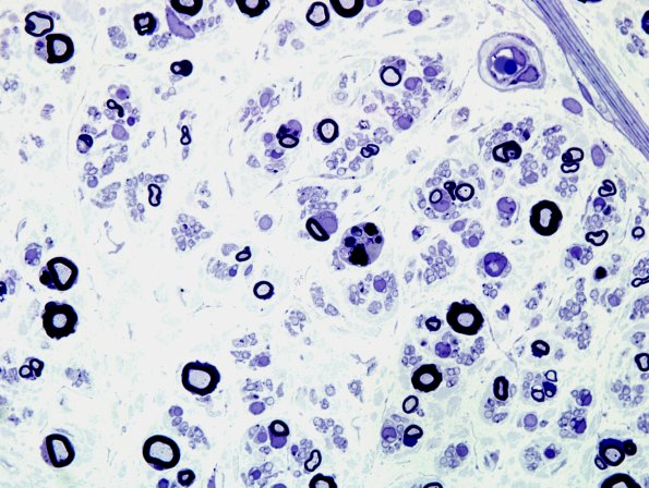
Actively degenerating axons are scattered throughout all fascicles. Small inclusions are difficult to resolve but involve Schwann cell cytoplasm and endoneurial microvasculature. (plastic sections).
