Table of Contents
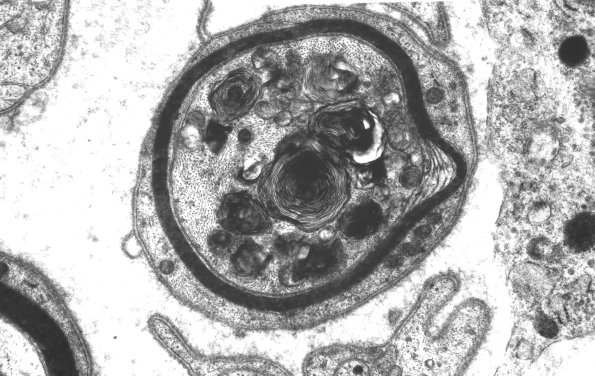
Washington University Experience | PERIPHERAL NEUROPATHY | 17 TOXIC NEUROPATHIES | Chloroquine | 1B2 Chloroquine NP (Case 1) - Copy
Lamellar osmiophilic inclusions are seen in Schwann cells and occasionally within axons. The inclusions are thought to represent lysosomal accumulation of membranes whose degradation is impaired by the toxin (electron micrographs, thanks JM Bilbao, MD)
