Table of Contents
Washington University Experience | PERIPHERAL NEUROPATHY | 17 TOXIC NEUROPATHIES | Disulfiram | 1A1 Disulfiram (Case 1) Plastic 6
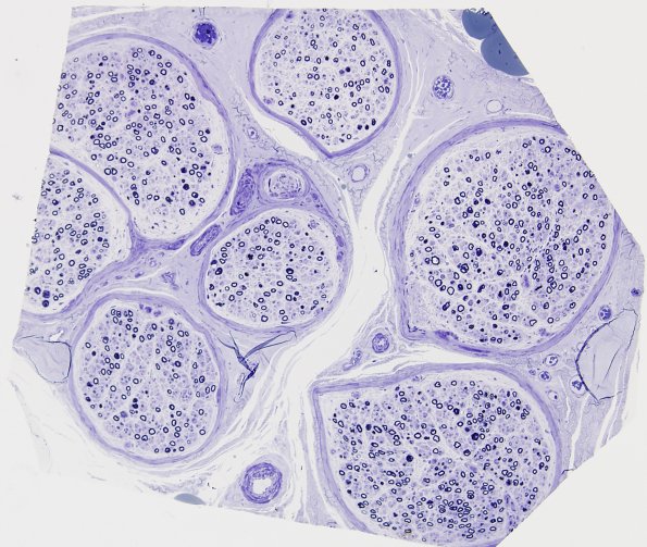
Case 1 (Thanks JM Bilbao, MD for providing the case) ---- 1A1 This low magnification image shows a sural nerve with moderate loss of large and small myelinated axons. (plastic section)
