Table of Contents
Washington University Experience | PERIPHERAL NEUROPATHY | 17 TOXIC NEUROPATHIES | Disulfiram | 1A2 Disulfiram (Case 1) Plastic 40X 2
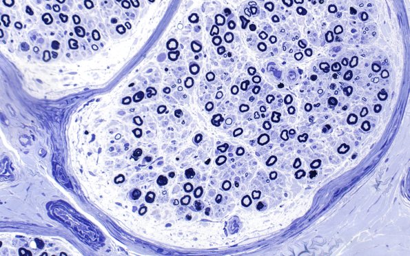
This higher magnification image confirms the loss of axons and, in this fascicle, appears to involve small myelinated axons preferentially. (plastic section)
