Table of Contents
Washington University Experience | PERIPHERAL NEUROPATHY | 17 TOXIC NEUROPATHIES | Disulfiram | 1A4-Disulfiram-Case-1-Plastic-2.jpg
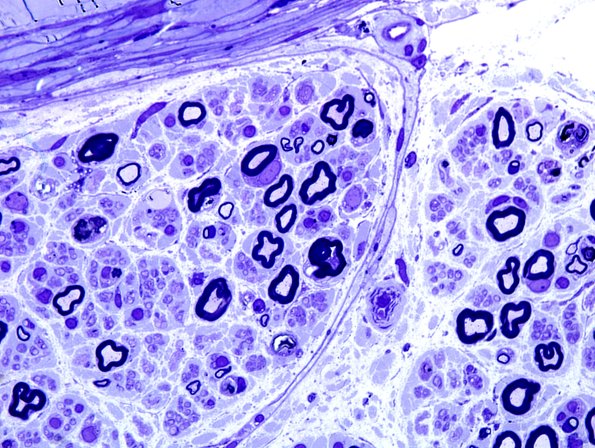
1A4,5 Along with a background of axonal degeneration and loss, there are scattered demyelinated axons in most fascicles. (plastic section)
