Table of Contents
Washington University Experience | PERIPHERAL NEUROPATHY | 17 TOXIC NEUROPATHIES | Disulfiram | 1A5 Disulfiram (Case 1) Plastic 10
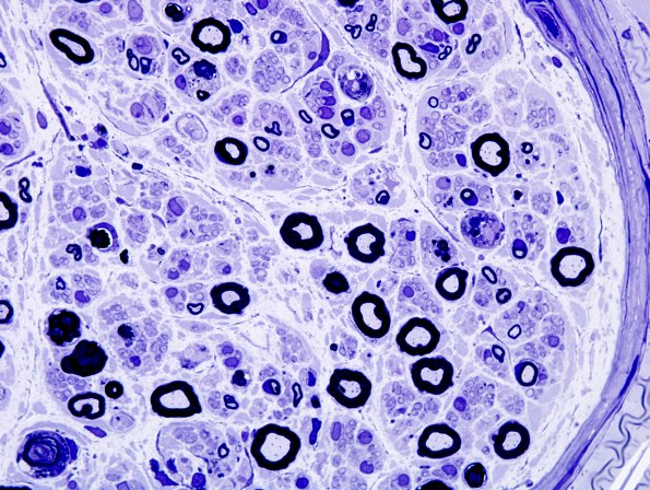
Along with a background of axonal degeneration and loss, there are scattered demyelinated axons in most fascicles. (plastic section)
