Table of Contents
« prev
next »
Washington University Experience
|
PERIPHERAL NEUROPATHY
|
17 TOXIC NEUROPATHIES
|
Disulfiram
|
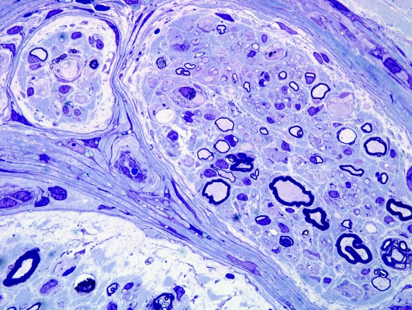
1A6-Disulfiram-Case-1-Plastic-6A.jpg
In this fascicle demyelinated and thinly remyelinated axons are numerous. (plastic section)
Image Info
Camera Maker:
Olympus Corporation
Camera Model:
DP70
Original Time Taken:
23-10-2013
Shutter Speed:
5/127 sec
ISO Sensitivity:
200
Metering Mode:
Spot
Gallery RSS
|
Archive View
|
Login
|
Powered by
Zenphoto