Table of Contents
Washington University Experience | PERIPHERAL NEUROPATHY | 17 TOXIC NEUROPATHIES | Disulfiram | 1B1 Disulfiram (Case 1) EM002 - Copy
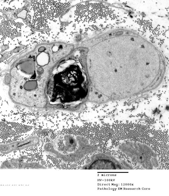
This axon is dilated by neurofilaments with adjacent myelin debris, likely a demyelinated axon. (electron micrograph)
